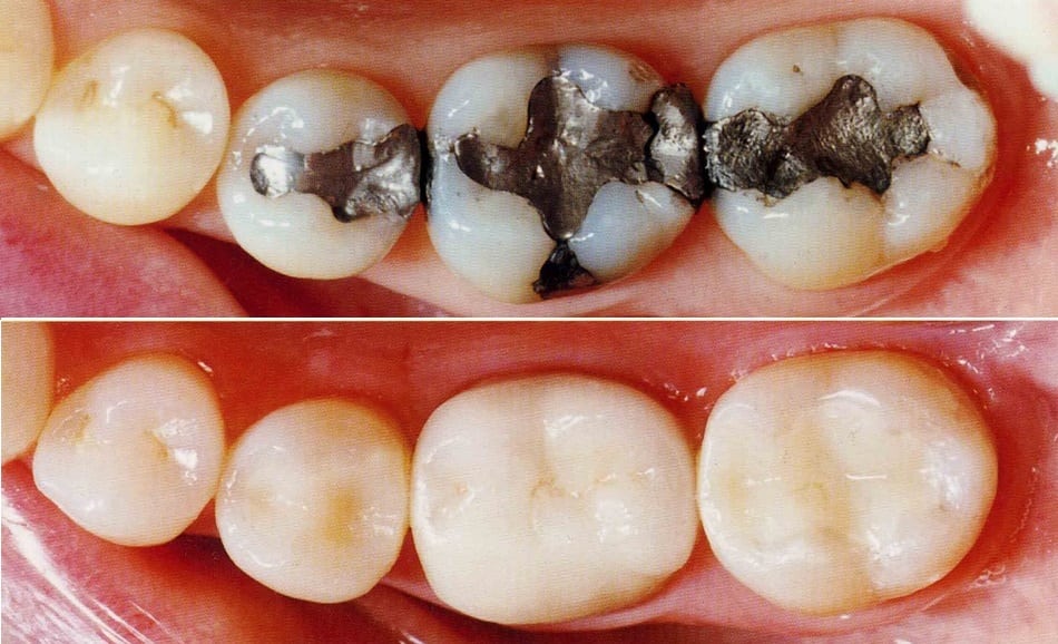
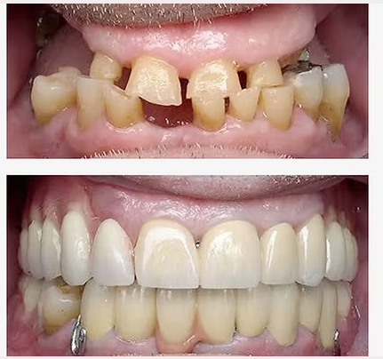
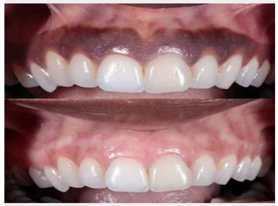
JP Dental Clinic is a leading dental clinic in Koramangala, Bangalore, providing comprehensive dental care with a focus on comfort, precision, and long-term oral health. Our experienced dentists offer advanced treatments including dental implants, root canal treatment, braces and aligners, veneers, teeth whitening, and pediatric dentistry.
Conveniently located in Koramangala, we serve patients from HSR Layout, BTM, Indiranagar, and surrounding areas. Using modern technology and strict sterilization protocols, JP Dental Clinic ensures safe, painless, and effective dental solutions for every patient. Book an appointment today with a trusted dentist in Koramangala and experience personalized dental care.
1.0 LAKH+ 25 +
Treated Patients Years Experience