Conventional Braces in Koramangala – JP Dental Clinic

Braces & Orthodontics

Straighten Your Smile. Improve Your Bite.

A straight, healthy smile isn’t just about appearance — it’s about function, comfort, and long-term oral health. At JP Dental Clinic, we offer custom orthodontic solutions including traditional braces and clear aligners to correct crooked teeth, misaligned bites, and jaw positioning issues.

Whether you're a teen or an adult, our goal is to create a smile that looks great and works even better.

Crooked teeth? Gaps? Overbite? No worries—we’ve got you. At JP Dental Clinic, Koramangala, we make straightening your teeth simple, stylish, and stress-free.

Braces aren’t what they used to be. We offer modern options that fit your look and your life—like sleek metal braces, low-key ceramic ones, or clear aligners you can barely see.


Conventional Metal Braces in Koramangala – JP Dental Clinic

Conventional Metal Braces

Why Metal Braces is a Smart Choice?

Metal braces have stood the test of time, even amid competition from clear alternative braces, because they’re simply more versatile than plastic options. Metal braces are installed just once, with the opportunity for adjustment as time goes on. And, because the metal is a stronger and more durable material, the braces can be positioned and adjusted in a way that makes them work more quickly than competing corrective options.

No matter the unique method of installation and maintenance, metal braces are far more durable than plastic options and less likely to break or require costly replacement.

Cost Advantage: Metal Braces are Exceedingly Affordable

One of the things that really sell many patients on metal braces is that they’re simply the most affordable option currently on the market. That’s largely due to their unique characteristics, including their more permanent nature in the mouth. Clear plastic options, which are the chief competition considered by most consumers, must be replaced several times to accommodate for natural shifts in tooth alignment and jaw placement.

Each new version of clear braces costs extra money. Conversely, metal braces can be adjusted without replacement, reducing overall costs and making them a far more affordable way to fix problems like teeth spacing and jaw alignment.


Ceramic Braces in Koramangala – JP Dental Clinic

Ceramic Braces

Why Metal Braces is a Smart Choice?

Metal braces have stood the test of time, even amid competition from clear alternative braces, because they’re simply more versatile than plastic options. Metal braces are installed just once, with the opportunity for adjustment as time goes on. And, because the metal is a stronger and more durable material, the braces can be positioned and adjusted in a way that makes them work more quickly than competing corrective options.

No matter the unique method of installation and maintenance, metal braces are far more durable than plastic options and less likely to break or require costly replacement.

Clear Braces: Effective Work Without the Metal Smile

The orthodontic option referred to as “clear” braces aren’t necessarily clear in the plastic sense. Instead, these braces replace metal braces with ceramic braces when adhering to the teeth. A small metal wire uses the ceramic material as leverage, adjusting teeth over time and creating a perfect smile that will last well into the future. Because of the unique way that this system works, the teeth are perfectly visible throughout the adjustment period. The thin wire is virtually unnoticeable at a distance, and pictures will hardly reveal the braces’ presence.

The Benefits of Clear Braces

When compared to other orthodontic options, clear ceramic braces have several advantages that can help you get that perfectly straight smile without compromising your appearance.

Benefits of clear braces:

Clear ceramic bonding is less noticeable than metal brackets and rubber Less expensive than invisible plastic braces Only require one single installation Can achieve successful results more quickly than invisible braces Can be used to treat more severe misalignment and gaps

Clear braces are an excellent alternative option to traditional metal braces for many reasons. They are far less conspicuous and offer a way for patients to correct their teeth more discreetly. Clear braces are also less expensive than invisible braces, which utilize plastic trays to straighten teeth over time. Unlike invisible plastic braces, the durable metal wiring used with clear braces can treat more severe alignment issues.

Special Considerations About Clear Braces

For all of the benefits of a typical clear braces installation, there are certainly a few drawbacks that patients would be wise to consider before opting for this particular product. Perhaps the most notable is that patients will be subject to food restrictions for the duration of their braces’ installation. These restrictions are the same as they would be with a metal braces installation and for large the same reason. Simply put: It’s no fun to get food stuck in the installed metal parts, and it’s certainly no fun for stuck food to produce a cavity.


Lingual braces in Koramangala – JP Dental Clinic

Lingual braces

Lingual braces are a lesser known orthodontic option that has practical and cosmetic advantages when compared to alternative braces. They have some similarities to other braces, but because they are installed on the back of the teeth rather than the front where traditional braces are placed, they have some differences with respect to comfort, fit and ability to be discreet. We’ll explore these differences further and discuss what factors should be considered before getting lingual braces.

Lingual braces are similar to traditional braces in that brackets and wires are installed in the mouth and on the teeth to fix misalignments. However, lingual braces differ because they are almost entirely invisible. They are placed on the back of the teeth facing the tongue, rather than the front of the teeth. Because of this, lingual braces allow for a more discreet option for orthodontic patients not willing to wear traditional braces for a lengthy amount of time. They are gaining popularity for this reason, for both children and adults.

The brackets used with lingual braces are customized to fit each patient’s mouth perfectly, using an impression of the teeth, and must be installed onto each individual tooth to properly correct misalignments. Likewise, the wires connecting each bracket require some customization to serve each patient best.

Having the perfect fit is essential when it comes to installing lingual braces because the brackets and wires are more challenging to place. The backs of the teeth are harder to reach, and there is much less room for the orthodontist to work. In order to properly position the lingual braces, all the brackets are cemented on the teeth at the same time using a customized tray to hold them in place. In contrast, traditional braces use standardized brackets that are placed individually, one tooth at a time.

The most significant advantage many patients find with lingual braces is the ability to be more discreet when correcting their teeth. For adults, in particular, wearing bulky metal braces for years is not the ideal option in social or professional situations. Lingual braces are hidden behind the teeth, giving patients access to all the benefits of metal braces without being as obvious.

Besides being virtually invisible, lingual braces are just as efficient as other options when it comes to complex misalignments, including correcting rotations, closing gaps due to extractions or evening out the height of teeth. Also, any discoloration or white spots resulting from wearing braces will be on the inside of the teeth rather than the outside as with traditional metal or ceramic braces. Lingual braces are also custom fit for every patient, which can give a higher level of comfort.

Lingual braces may create some issues for patients with an extreme or deep overbite. This is because the overbite may exert too much pressure on the brackets on the back of the teeth and cause them to detach too easily.

Your orthodontist can tell you if this will be a problem in your case.

Lingual braces can also cause some difficulties with speech, especially while patients are still adjusting after the brackets are placed. Since the braces are on the backside of your teeth, it may feel a little unusual at first. You might have a lisp until you become accustomed to them because your tongue makes contact with the back of your teeth when you articulate. This effect will usually go away with time, though.

As with most braces, some discomfort or sores may develop. In the case of lingual braces, the soreness is mostly felt on the tongue, particularly while eating or speaking. However, the pain and irritation will decrease the longer you wear the braces.


Self ligation Technique in Koramangala – JP Dental Clinic

Orthodontists place self-ligating braces much like traditional metal braces, with the exception of ligature. This means that no rubber bands, ties or elastics are required. In its place, special brackets or clips are used to help the archwire move your teeth in place.

Self-ligating brackets are defined as "a dental brace, which generally utilizes a permanently installed, moveable component to entrap the archwire". Self-ligating brackets have also been designed which do not require a movable component to hold the wire in place

Yes, self-ligating braces are advanced bracket system and are more expensive than traditional metal brackets.

Self-Ligating Braces have a door mechanism that is opened and closed to hold the tooth-aligning wires. This allows for far less friction between the wire and the braces. This results in faster tooth movement because the braces are free to slide along the wire (metal bracket on metal wire).

Since self-ligating braces don't use elastic bands like conventional braces do, there are no colour choices where this part is concerned. However, you do have an option when it comes to the brackets themselves. Typically, self-ligating brackets are metal or silver in colour.

Self-ligating braces are braces that use little metal doors to hold the wires instead of elastic ties. ... Braces are simply handles that are glued-on teeth to hold the wires in place so the wires can move the teeth. Teeth move when wires apply gentle, consistent pressure (force) over time.


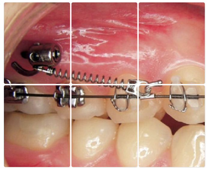
TADs / Micro Implants in Koramangala – JP Dental Clinic

TAD’s / Micro Implants

A temporary anchorage device (TAD) is a device that is temporarily fixed to bone for the purpose of enhancing orthodontic anchorage either by supporting the teeth of the reactive unit or by obviating the need for the reactive unit altogether, and which is subsequently removed after use.

TADs are used to augment anchorage when the desired tooth movement is in need of a “power boost”. These appliances are hooked to braces on the teeth to aid in space closure, midline correction, bite closure, and many other functions. TADs are often used to supplement or substitute for elastics.

There are many benefits to using TADs in orthodontics. They are safe, temporary, simple to install and remove and easy to look after. Most importantly, they offer a fast and flexible way to realign teeth and accompolish difficult orthodontic movements.


Myofunctional Appliances in Koramangala – JP Dental Clinic

What is Myofunctional appliance?

Myofunctional appliances use the facial muscles and masticatory muscles to produce changes in the relation of teeth or arches. This means that these appliances aim to utilize, eliminate or guide the forces arising from muscle function, tooth eruption and growth in order to alter skeletal and dental relationships.

When are functional appliance used and how do they act?

These are mainly used during the developing stage of children if there are signs of dental and/or skeltal ClII relationship. In this case there is excessive development of upper jaw, placing it forward than lower jaw. So, child would be having trapped lower lip between upper and lower teeth.The myofunctional appliance restricts or redirect the gowth of upper jaw and stimulate the growth of lower jaw.

It can also be used in Cl III cases by restraing or redirecting the development of lower jaw.
Removable: Twin Block, Frankel and bionator.
Fixed: Herbst


Surgical Orthodontics in Koramangala – JP Dental Clinic

Surgical Orthodontics

For some adults, orthodontic treatment alone cannot fully correct their orthodontic problem. They may also need surgery in combination with orthodontic treatment to achieve a functional, healthy bite. Surgical orthodontics, also called orthognathic surgery, is corrective jaw surgery performed to remedy skeletal problems that affect the ability to bite, chew and speak. Orthodontic treatment is done before and after surgery so that upper and lower teeth meet appropriately, and the individual is able to more effectively bite, chew, and speak.

Surgical orthodontics may be necessary for someone whose upper and lower jaws, which hold the teeth, are out of position. Consequently, the upper and lower teeth don’t fit, impairing the ability to bite, chew or speak. Your orthodontist will work in conjunction with an oral and maxillofacial surgeon to position your jaws and teeth for optimal function.

Surgical orthodontics is generally recommended for adults who have a severe problem with the positions of their teeth and jaws that cannot be corrected by orthodontic treatment alone. Sometimes surgical orthodontics may be needed for those whose jaws are injured in an accident, or to correct a birth defect.

Unlike children, adults are no longer growing, so the only way to modify the size or shape of an adult’s jaw bones is through surgery.

Sometimes the root cause is genetic – as you were growing, your upper and lower jaws grew out of proportion to each other, and that can keep upper and lower teeth from meeting as they should, making it hard to bite, chew or speak. Other causes can be linked to birth defects or injuries to the jaw or environmental causes.

Orthodontic treatment usually comes before surgical orthodontics. The purpose is to align teeth so that they fit correctly after surgery is performed. Orthodontic treatment continues for a time after surgery to bring teeth into their final, optimal positions for good function.

For correction of misaligned jaws and teeth that are the result of a growth problem, surgical orthodontics is performed on patients who have finished growing.

It is highly unlikely that surgery alone can correct both misaligned teeth and misaligned jaws. Orthodontic treatment is necessary to ensure teeth are in the right positions within the jaws

Surgery is performed by an oral and maxillofacial surgeon, who works in conjunction with your orthodontist. The two specialists work as a team to design and execute your plan of care.


Conventional Braces - Frequently Asked Questions